|
|
|
|
|
|
|
|
Peter served as CEO of Lincoln Agritech Ltd, an R&D company and Independent Research Organisation fully owned by Lincoln University, from 2009 to December 2023. Over his 14-year tenure as CEO, Peter transformed the company from 35 staff with a turnover of $5.5 million to 85 staff with a turnover of $15 million. Photo: Lincoln Agritech. |
|
The IRANZ Board has recently announced that Peter Barrowclough has been awarded Life Membership in recognition of his outstanding contributions to the science and research community, particularly during his tenure as CEO of Lincoln Agritech Ltd. In making the award, IRANZ Chair Dr John McDermott said Peter's leadership has left a substantial legacy, both within the organisation and across the wider New Zealand research landscape.
Presenting the life membership, IRANZ Executive Officer Dr Rob Whitney commended Peter's exceptional leadership as CEO of Lincoln Agritech Ltd, noting his ability to foster a thriving research environment despite the challenges faced by independent research institutes without core funding.
MORE →
|
|
|
|
|
|
- IRANZ welcomes new member Estendart Research Limited
- Lincoln Agritech: Breaking the Wall of hidden waters
- Motu Research announces winners of the Āheitanga Scholarship 2024
- New appointments to Malaghan Board
- Bragato: Viva la varietal revolution
- Lincoln Agritech: Discover the hidden hazard of shallow groundwater
- Dragonfly: Rapid identification of avian flu viruses
- HERA: Industrial coatings protecting steel
- Malaghan RNA researcher named KiwiNet Emerging Innovator
- Dragonfly helps with silky shark monitoring
- ...and much more.
Follow the link for more details on the October 2024 news briefs from our Independent Research Organisations.
READ MORE →
|
| Dr Rebecca McKenzie, who is a project leader in the Malaghan Institute's RNA technology development facility and one of seven pillar leads in the national RNA development platform, has been selected as a 2024 KiwiNet Emerging Innovator for her research developing novel RNA therapeutics. Photo: Malaghan Institute of Medical Research. |
|
|
|
|
|
|
Malaghan Institute postdoctoral researcher Dr Jordan Minnell's research into self-amplifying RNA is one of eight nationwide projects recently awarded a Fast Start Project Grant worth $250,000 from New Zealand's RNA Development Platform.
The RNA Development Platform, funded by the Ministry of Business, Innovation and Employment, was established in 2023 to capitalise on the opportunities presented by mRNA technology during the Covid pandemic. It builds on pre-clinical capability developed with support of donors to the Malaghan Institute as part of Vaccine Alliance Aotearoa New Zealand.
RNA Development Platform Co-Director and Deputy Director of the Malaghan Institute Professor Kjesten Wiig says the Fast Start Projects are about getting some quick wins for RNA technology to build capability across New Zealand.
“RNA technology marks a step change in medicine, as disruptive and revolutionary as penicillin and computers,” she says.
MORE →
|
|
|
 |
| Dr Jordan Minnell. Photo: Malaghan Institute of Medical Research. |
|
|
|
|
|
|
The Medical Research Institute of New Zealand (MRINZ) is leading innovative research funded by Te Niwha, an Infectious Diseases Research Platform that supports Māori-led health research aimed at improving health outcomes for Māori communities. MRINZ and Te Niwha are collaborating to harness the national reach and expertise of pharmacists, making them pivotal in the ongoing fight against infectious diseases.
Two key projects are at the forefront of this initiative. Conducted through MRINZ's Pharmacy Research Network (PRN), which includes over 100 pharmacies across New Zealand, these studies are set to reshape how we manage and respond to public health challenges.
The first project, conducted in collaboration with Environmental Science and Research Limited (ESR), examines how pharmacies can strengthen existing national surveillance systems, traditionally overseen by general practices and hospitals, to track circulating viruses.
MORE →
|
|
|
|
|
|
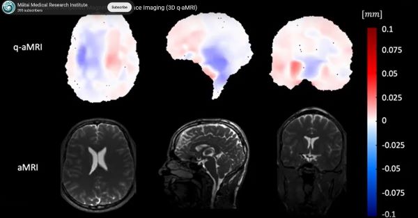
A groundbreaking MRI technique developed by researchers from Stanford University and New Zealand's Mātai Medical Research Institute may revolutionise the way brain disorders are detected. The new 3D quantitative amplified MRI (3D q-aMRI) method, based on a two-minute scan, captures tiny brain movements that are otherwise invisible. These movements, caused by blood pulses with each heartbeat, are amplified and quantified, potentially revealing anomalies that could indicate disorders affecting brain function or cerebrospinal fluid flow.
Dr Samantha Holdsworth, Mātai Research Director, believes the technology could significantly aid in diagnosing conditions such as Chiari Malformation and hydrocephalus, as well as cerebrovascular diseases. Stanford's Itamar Terem adds that 3D q-aMRI, which works with standard MRI equipment, is highly accessible for clinical use.
The team is conducting further studies on applications for concussion and dementia and collaborating with Mātai-based GE Healthcare scientist Dr Hari Kumar to expand the technique's reach worldwide.
MORE →
|
|
|
 |
| Image: Mātai Medical Research Institute. |
|
|
|
|
|
The Gillies McIndoe Research Institute, in collaboration with AFT Pharmaceuticals and Massey Ventures, has won the prestigious Best Licensing Deal award at the 2024 Knowledge Commercialisation Australasia (KCA) Awards. The recognition follows last year's award for their work on Strawberry Birthmark treatments and highlights a breakthrough in early-stage licensing for a promising new keloid scar therapy.
The lab work for this project is being worked on by Gillies McIndoe's postdoctoral researcher Dr Alex Chan, this innovative project aims to address the underlying causes of keloid and fibrotic conditions — marked by excessive collagen production that leads to raised, often painful scars beyond the original injury site. With limited current treatment options for keloids and frequent recurrence after intervention, the research focuses on targeting specific molecular pathways to improve patient outcomes.
READ MORE →
|
| Gillies McIndoe's Postdoc Dr Alex Chan. Photo: Gillies McIndoe. |
|
|
|
|
|
|
On World Suicide Prevention Day in September, MATES in Construction's latest research on the well-being of construction industry workers shows that while mental health is improving overall, our most vulnerable workers need more support.
MATES in Construction is a not-for-profit organisation dedicated to acknowledging mental health challenges in the industry and providing education and tools to support positive well-being. Its latest research - 2024 MATES in Construction Industry Well-being Survey supported by ASB - involves a record 2,000+ workers and reveals a positive shift, with 85% of workers reporting good mental health in 2023. An encouraging increase from 75% in 2022 and 70% in 2021.
Despite this upward trend, the research underscores the pressing need for targeted support, as certain groups within the industry remain particularly vulnerable to mental health challenges.
This data is further supported by findings from the MATES Workplace Psychosocial Stressors Report in collaboration with BRANZ and funded by the Building Research Levy.
MORE →
|
|
|
 |
| MATES in Construction. Photo: BRANZ. |
|
|
|
|
|
HERA's latest study shows that with smart design choices, construction carbon emissions can be reduced by over 50% starting today. Funded by BRANZ and HERA, the study, titled “Circular design for a changing environment: A design framework to reduce construction waste, lifecycle embodied carbon, and to enhance the circular economy for construction materials, with a pilot for low-rise buildings”, aims to cut construction waste, reduce lifecycle embodied carbon, and advance the circular economy for low-rise buildings. The project provides practical guidance to significantly lower carbon emissions in the built environment.
HERA CEO Dr Troy Coyle explains, “Imagine halving the carbon footprint of low-rise commercial buildings with simple design changes. This is the potential of HERA's low carbon circular design framework, which we'll be releasing soon.”
Troy adds that the guidance functions like a waste hierarchy but specifically for carbon, supporting low-carbon, circular economy solutions in building materials and systems.
"The framework and specific design guidance covers both new builds and re-use of existing buildings. As part of the framework, we've developed a low carbon circular design hierarchy."
MORE →
|
|
|
 |
| Future green city - AI image. Image: HERA. |
|
|
|
|
|
An ingenious new train control room north of Wellington and a cutting-edge sensor system on a slip-prone stretch of rail have been recognised at the ACE (Association of Consulting and Engineering) Awards.
Developed at WSP's research & development facility in Petone, they're the latest in a slew of award-winning projects for WSP.
WSP revolutionised KiwiRail's National Train Control facility in Upper Hutt with a new room layout inspired by human factors and behavioural science. A co-design approach involving workshops, interviews, and eye tracking techniques was used to create a modern pod layout, replacing the operations centre's old classroom-style setup. The design addresses privacy, noise, and lighting concerns, enhancing operational efficiency and comfort.
Following a severe slip in August 2021 that sent two carriages off the tracks south of Paekākāriki, and multiple slips in 2022, WSP developed a real-time slope monitoring system for KiwiRail that works in harsh conditions without mains power or reliable wifi.
MORE →
|
|
|
 |
| KiwiRail's new National Train Control facility in Upper Hutt. Photo: WSP. |
|
|
|
|
|
|
An 80km/hour speed limit sign. Around two thirds of road crashes involving a death or serious injury occur because everyday people make a mistake. Photo: Mackie Research. |
|
Hamish Mackie, CEO of Mackie Research, recently wrote about new areas of focus for speed limits that are currently out for consultation, and are underpinned by the Government's emphasis on productivity and economic growth.
"It's important that, as a country, we get the setting of speed limits right. We need to find the balance between ensuring that all road users are as safe as possible from harm, as well as ensuring that speed limits appear logical and make sense.
"We have a significant road safety challenge in New Zealand. We were ranked 29th out of 35 OECD countries for road fatalities per 100,000 inhabitants in 2022, a step worse than Greece and a little better than Serbia. So how do we improve?
"We know that around two thirds of road crashes involving a death or serious injury occur because everyday people make a mistake, the remainder involving 'reckless' behaviour such as illegal blood alcohol, or excessive speeding. So, while we rightly need to focus on those who deliberately operate outside of our legal system, there are huge gains to be made by accepting that everyday people just get it wrong sometimes and we need to design a system that, as far as possible, protects us all when mistakes are made."
MORE →
|
|
|
|
|
|
Many organisations have large amounts of written text. Thematic analysis allows the topics in documents to be summarised, clustered, and analysed.
Large Language Models like ChatGPT have burst onto the scene, bringing Artificial Intelligence (AI) to everybody's fingertips. Language models generate text in a way that is almost miraculous. In order to carry out this trick, they first need to learn about text by reading it. To process text, language models rely on an underlying technology that translates text into numbers. Called an embedding, this technology represents sentences or paragraphs as numbers, in a way that similar concepts end up numerically close to each other. The embedding provides a mapping from concepts or themes into numbers.
Because of the richness of language, with the same word having different meanings in different contexts, generating this embedding is a tricky process. It needs to be able to understand that while 'dog' might often go with 'canine', 'hot dog' is more likely to be close to 'hamburger'.
MORE →
|
|
|
 |
| Image: Dragonfly Data Science. |
|
|
|
|
|
A new Motu Research paper by Catherine Leining, Sasha Maher, and Hannah Kotula suggests Aotearoa New Zealand can strengthen global climate action by funding emissions reduction in other countries to help meet its 2030 Paris Agreement target. With global efforts lagging, New Zealand's support for offshore mitigation could be impactful
From 2015 to 2021, both National and Labour governments set ambitious targets, recognising that achieving these would require offshore funding alongside domestic action. However, four common mindsets - Dismissive Detractors, Carbon Colonialism, Domestically Driven, and Least-Cost Compliance - have slowed progress by framing offshore funding as a loss, rather than an investment.
The paper advocates for a Climate Cooperation approach, integrating domestic and international efforts to achieve integrity, cost-effectiveness, and equity. By securing public support and embracing climate cooperation, New Zealand could contribute to both national and global progress.
To advance offshore mitigation, the paper recommends clear policy and funding commitments, international partnerships, pilot projects, and clarifying roles for the private sector.
MORE →
|
|
|
|
|
|
|
|
As climate change continues to impact wine regions in New Zealand and worldwide, grape production faces unprecedented challenges. As reported by NIWA, increasingly unpredictable weather patterns have shown peaks of drier conditions in 2020, 2023, and 2024 at various locations across New Zealand, putting immense pressure on vineyards. To sustain future grape production and maintain wine quality, it is crucial to explore innovative strategies that enhance grapevine resilience. One promising approach is harnessing the potential of soil-beneficial microbes, particularly those belonging to the genus Trichoderma, which may improve drought tolerance and water use efficiency in grapevines.
Trichoderma is a genus of fungi naturally found in soils across New Zealand. Known for their ability to promote plant health, these fungi have been extensively studied for their role in biological control, where they suppress plant pathogens. However, recent research has revealed that Trichoderma species can do much more than protect plants from disease.
MORE →
|
|
|
 |
| Young, grafted Sauvignon Blanc grapevines grown in pots under controlled glasshouse conditions. Photo: Bragato Research Institute. |
|
|
|
|
|
A new five-year, $10.4 million research project aims to grow a new wool-based manufacturing export sector.
Lincoln Agritech has just been awarded MBIE Endeavour Research funding for the project, Smart, functional, high-performing keratin structures for new biologically derived export products.
The aim is to develop keratin biopolymer products that capitalise on wool keratin's unique structure, including reversible shape and volume changes and controlled breakdown.
“We aim to develop products for diverse market areas, such as products that control the release of microbes in soil, textile fibres superior to silk and associated garments, and ruminant boluses for controlling greenhouse gas emissions,” says project leader, Lincoln Agritech's Dr Rob Kelly.
Project research collaborators include Harvard University, the University of Auckland and AgResearch. The project has been established with the strong support of the Wool Research Organisation of New Zealand (WRONZ).
MORE →
|
|
|
 |
| Photo: Lincoln Agritech. |
|
|
|
|
|
Cantabrians are acutely aware of the damage caused by liquefaction during the 2010/11 earthquakes. While most of this damage occurred in urban areas, rural areas were also affected, depending on groundwater depth and soil properties.
Despite these risks, data on shallow groundwater is limited, especially outside Christchurch's central city. However, Christchurch City Council now routinely collects groundwater depth data, a crucial step for city planners and engineers to mitigate risks such as liquefaction and other threats to property and health posed by shallow groundwater.
What is less known is that shallow groundwater can also be beneficial as a source of irrigation water. This largely unrecognised resource can support primary production in some areas, either through drainage water use or in-situ use of shallow groundwater. Drainage water has been utilised for irrigation on parts of the lower Canterbury Plains for decades.
MORE →
|
|
|
 |
| Photo: Aqualinc. |
|
|
|
|
|
Cawthron Institute is celebrating the announcement that four of its bids for the 2024 MBIE Endeavour Fund round have been successful. Two Research Programme bids and two Smart Ideas proposals were awarded, focused on understanding how microalgal communities respond to climate change, developing tools to effectively respond to marine biosecurity threats, developing next-generation fertilisers from cyanobacteria, and optimising salmon nutrition.
Cawthron Institute's Chief Executive Volker Kuntzsch says these research programmes are "very much focused on applied science that will have an immediate, real-world impact."
“I'm delighted that MBIE and the panel of assessors have recognised the value that Cawthron Institute's science can contribute to Aotearoa New Zealand's environment, economy and society.”
MORE →
|
|
|
 |
| Dr Anne Vignier and Dr Kirsty Smith handle a microalgae sample stored in Cawthron's Culture Collection of Microalgae. Photo: Cawthron Institute. |
|
|
|
|
|
A recent study by Motu researchers Jaimie Monk, Kate Prickett, and Arthur Grimes sheds light on the impact of family income on children's behavioural development in New Zealand. The study found that children from higher-income households generally experience fewer behavioural problems compared to those from lower-income backgrounds, even when factors like socio-demographics and parenting styles are considered. Despite these disparities, children across all income levels show similar strengths in prosocial behaviours, such as kindness and sharing.
The research highlights that growing up without the constraints of poverty supports positive behavioural outcomes, especially in the crucial early years of development, with income effects strongest in preschool years and lessening by age eight.
The study also examined factors like maternal stress and children's screen time, finding that higher income may reduce stress for mothers, allowing more engaged parenting. High screen time in early childhood correlated with increased behavioural issues, underscoring the potential importance of limiting screen exposure during formative years.
MORE →
|
|
|
 |
| Photo: Getty Images. |
|
|
|
|
|
In late October, Mātai Medical Research Institute hosted a series of public talks by renowned eye experts and researchers, shedding light on groundbreaking developments in eye health. These presentations covered a range of topics, from the complex relationship between our eyes and brain in forming vision to advanced imaging research at Mātai, especially in diagnosing glaucoma and other eye diseases.
The sessions highlighted Mātai's collaborations with the Vision Research Foundation, Eye Institute Auckland, Rapanui Trust, the JN & HB Williams Foundation, and GE Healthcare. Key speakers included Dr Graham Wilson, who delved into the science behind the "miracle of vision"; Dr Jesse Gale, discussing the role of mechanical stress in optic nerve health; Dr William Schierding, presenting radiogenomics for personalised age-related eye disease care; and Dr Loxlan Kasa, exploring cutting-edge MRI techniques for glaucoma research.
Attendees gained insight into how these advancements in eye health could shape the future of treatment and care, advancing our understanding of vision and eye health.
MORE →
|
|
|
 |
| The miracle of sight. Image: Mātai Medical Research. |
|
|
|
|
|
PhD student Hannah Boswell is developing vaccines that can be inhaled, providing localised immunity in the lungs and airways and stopping respiratory viruses at the very point they enter the body.
It's time for your annual flu shot. You receive the small package you ordered in the post. You open it and find a small container with a nozzle. You tilt your head back, insert the nozzle into your nostril and press it firmly as you inhale deeply. You feel the odd sensation of mist shooting up your nose, but it swiftly subsides. You throw the container in the bin. That's it, you're protected against the most recent strain of the influenza virus. You carry on with the rest of your day without giving it another thought.
"We may have a few steps to take before we're there, but we're on the path. This could be the future of vaccines, think about how easy it would be to deliver and administer. We could protect more of our population against some of the most harmful infectious diseases," says Hannah, who is undertaking her PhD at Malaghan's Hermans Laboratory.
READ MORE →
|
| PhD student Hannah Boswell. Photo: Malaghan Institute of Medical Research. |
|
|
|
|
|
|
| Photo: Bragato Research Institute. |
|
As costs continue to rise, vineyards must adapt and innovate to remain profitable. A new research programme called Next Generation Viticulture, led by Bragato Research Institute (BRI), will explore ways to grow vines more efficiently.
“The programme's vision is to increase the profitability of the New Zealand wine industry by improving vineyard productivity, reducing variability in yields, while delivering exceptional quality New Zealand wines the world demands,” says New Zealand Winegrowers Chair Clive Jones.
Clive made the announcement following the signing of a new partnership between the Ministry for Primary Industries, New Zealand Winegrowers, and seven wine business co-investors contributing cash and in-kind. Bragato Research Institute is contracted to manage and deliver the programme.
BRI's new CEO Dr Juliet Ansell says, “Next Generation Viticulture is aligned with BRI's research strategy, which has a strong focus on improving vineyard profitability and sustainable winegrowing.”
MORE →
|
|
|
|
|
|
In the coming decade, a significant number of new groundwater consents will be needed to replace expiring ones, a process that will come under close scrutiny from regional councils. Writing in Canterbury Farming, Aqualinc's Dr John Bright warns that as councils review existing consents, there will likely be pressure to reduce total allocations from each aquifer. Current policy suggests setting new annual water volumes based on the water meter data from consent holders.
However, John points out potential issues with this approach, which could lead to inequitable outcomes. "There are fishhooks in this simple approach," he explains. For instance, water meter data may not reflect a high-demand year, and longer data records offer more accuracy. Factors such as irrigation limitations, water supply restrictions, property redevelopment, and equipment failures can all skew data. John notes that when providing independent assessments for councils, he always requests comprehensive water meter and soil moisture data.
"I also get a copy of the climate data for the area for the time-period covered by the water meter data."
READ MORE →
|
| A pre-requisite for a robust analysis of water needs is good monitoring data. Photo: Aqualinc. |
|
|
|
|
|
|
People in the Wairoa region are being asked to complete a tuna consumption survey so that food safety researchers better understand the potential human health risks from toxins accumulating in tuna (eel) and other wild-caught species.
Whakakī Lake Trust, the New Zealand Food Safety Science and Research Centre and Cawthron Institute have been working together on a joint project funded by the Vision Mātauranga research fund since 2022 to address the food safety risk.
Richard Brooking of Whakakī Lake Trust said Whakakī Lake sometimes experiences blooms of toxic algae which can lead to toxins accumulating in eels and other wild-caught species.
“This causes concern for our people who traditionally consume tuna harvested from the lake and prevents us from extending manaaki to our manuhiri in our customary way."
MORE →
|
|
|
 |
| From left: Nigel French (NZFSSRC), Hohepa Kahukura and Richard Brooking (Whakakī Lake Trust), Andy Hicks (Hawke's Bay Regional Council), Wendy Newport-Smith (NZFSSRC), Cath McLeod (Cawthron), Angie Smith (Whakakī Lake Trust), Jonathan Puddick and Tim Harwood (Cawthron). |
|
|
|
|
|
| Wairau River. Photo: Lincoln Agritech. |
|
An $8m five-year study has revealed the complex relationship between braided rivers and regional aquifers - and how the way we manage rivers affects vital water storage.
Funded by the Ministry of Business, Innovation & Employment, and led by Lincoln Agritech, the study provides a new understanding of how water flows from braided rivers into regional aquifers.
“We've inherited our understanding of how rivers work mainly from research into straight and meandering rivers, with stable riverbeds,” says study author and Lincoln Agritech Hydrologist Scott Wilson. “But braided rivers can change significantly in short periods of time and interact differently with the land and water around them.”
In a paper published in the journal Hydrology and Earth Science Systems titled Conceptualising surface water / groundwater exchange in braided river systems, the authors emphasise the importance of “braidplain aquifers”, and of considering the river system as a whole, rather than just the active channels.
MORE →
|
|
|
|
|
|
BRANZ Senior Research Economist Daniel du Plessis is calling for deep structural changes to tackle Aotearoa New Zealand's severe housing affordability crisis, warning that, without reform, more New Zealanders may find homeownership out of reach. BRANZ is actively researching strategies to address this challenge.
At the 2021 Rethinking Housing conference, BRANZ highlighted concerns over a widening affordability gap as housing costs soar above median household incomes. Unchecked population growth and loose monetary policies have fuelled housing demand beyond the construction sector's capacity, driving up prices. From 2019 to 2022, average house prices surged by 85%, while household incomes rose just 23%.
Construction costs have also soared, influenced by labour shortages and supply chain disruptions, with Stats NZ data showing a 52% rise in building costs over three years. BRANZ's 2024 investment priorities now target affordability research, aiming to establish a unified understanding of construction affordability. With its independent role, BRANZ seeks to create systemic solutions for a more sustainable housing future.
MORE →
|
| New housing development in Flat Bush, Auckland. Photo: BRANZ. |
|
|
|
|
|
|
HERA CEO Troy Coyle highlights the benefits of decision support tools in construction, particularly through the lens of Construction 4.0. Decision support tools are computer-based systems that analyse complex data to help identify the best options, making decision-making simpler and more reliable. For maximum effectiveness, these tools should use verified, standardised data and remain user-friendly.
In Aotearoa New Zealand's construction industry, decisions are often made in isolated steps with limited data sharing between stages, leading to missed opportunities for smarter design and construction. Designers lack the tools to optimise designs across essential factors like sustainability and resilience, and to ensure designs are easy to fabricate and cost-effective. This linear, outdated process can't handle the layered, interconnected data essential to modern construction needs.
By adopting Construction 4.0, which integrates advanced digital and data-driven practices, the industry can begin connecting and analysing complex datasets. This approach, based on complexity science, has the potential to transform traditional methods.
MORE →
|
|
|
 |
| AI image. Image: HERA. |
|
|
|
|
|
It's been twenty years since the Ministry for the Environment launched the Making Good Decisions programme for Resource Management Act (RMA) decision makers; and twelve since WSP started delivering the programme's training and certification.
Making Good Decisions, initially launched in 2004 by the then Environment Minister Marion Hobbs, continues to train and certify RMA commissioners as well as improving the implementation of the resource management system.
From housing developments and clearing vegetation to moving earth and taking water from streams, the RMA covers a wide range of activities. As part of their duties, Commissioners often make decisions on resource management activities that can impact local communities.
“It's no small task for Commissioners to decide on resource consents and plans while staying across the latest in environmental management. That's where our stewardship of the programme comes in," says WSP Technical Principal for planning and environment and Making Good Decisions programme manager Steph Brown.
MORE →
|
|
|
 |
| Photo: WSP. |
|
|
|
|
|
Dragonfly team member Dr Fabian Döweler is mapping regenerating forests in Aotearoa with the help of the Ministry of Business, Innovation and Employment's Catalyst Fund. The goal is to be able to monitor change in the forests in response to management, such as pest control, or after destructive events (e.g. fire).
Building on work done in collaboration with Vibrant Planet, Fabian is working with NASA on a technology that uses Artificial Intelligence (AI) to produce accurate models of tree canopies, combining LiDAR (Light Detection And Ranging) with aerial imagery.
"Imagine LiDAR as a high-tech echolocation system, but instead of sound, it uses light. Picture sending out millions of tiny laser pulses, like thousands of ping-pong balls bouncing off the forest canopy. Some of these balls hit the treetops, while others penetrate through branches and leaves, eventually reaching the ground," says Fabian.
"By measuring how long it takes each ball to bounce back, we can create a three-dimensional map of the forest."
MORE →
|
|
|
 |
| Image: Dragonfly Data Science. |
|
|
|
|
|
|
Check out the IRANZ multimedia page for more.
MORE →
Cawthron: Fresh FM's Mending Our Desert in the Bay - Ep 3
In this series of eight 30-minute programmes, Craig Prichard from the Cawthron Institute talks with scientists and marine professionals about the work they are doing, and how others can help around the Top of the South to mend what many regard as the watery desert in Te Tai-o-Aorere, Mohua, and the Sounds.
|
|
|
|
|
|
Malaghan: CAR T-cell therapy, the battle of the blood cells
CAR T-cell therapy uses modified blood cells to target and destroy cancerous blood cells. Dr Puja Paudel is researching ways to improve the effectiveness of CAR T-cell therapy for multiple myeloma, using a two-pronged attack to combat the high rates of relapse.
|
|
|
|
|
|
|
|
|
|
|
|
WHO WE ARE
IRANZ is an association of independent research organisations. Its members undertake scientific research, development or technology transfer. Members include Aqualinc Research Ltd, Bragato Research Institute, BRANZ, Cawthron Institute, DigiLab, Dragonfly Data Science, Gillies McIndoe Research Institute, HauHau Research, Heavy Engineering Research Association (HERA), International Global Change Institute (IGCI), Leather & Shoe Research Association (LASRA), Lincoln Agritech Ltd, Mackie Research, Malaghan Institute of Medical Research, Manawatū AgriFood Digital Lab, Medical Research Institute of New Zealand (MRINZ), Mātai Medical Research, M.E Research, Motu Economic and Public Policy Research, National Transport Research Organisation, Scarlatti, Takarangi Research Group, Te Tira Whakāmataki, and WSP Research.
|
|
Contact: Dr Rob Whitney, Executive Officer, mobile: +64 27 2921050, email: information@iranz.org.nz
|
| Copyright © iranz |
|
|
|
|
|